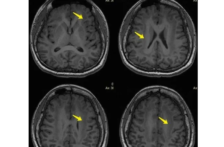
脑多发缺血灶是指大脑多个部位出现缺血性病变的疾病,也被称为多发性脑缺血病。它是一种常见的脑血管疾病,严重影响患者的生活和健康,甚至可导致残疾和死亡。脑多发缺血灶引起的症状多样化,包括头痛、头晕、记忆力减退、肢体无力等。
脑多发缺血灶是由于大脑供血不足或血液供应中断导致的,最常见的原因是动脉粥样硬化。动脉粥样硬化是指在动脉内壁形成斑块并逐渐增厚,导致动脉腔狭窄甚至闭塞。由于动脉供血不足,脑细胞无法得到足够的氧和营养物质,从而引发脑组织的缺血性损伤。
脑多发缺血灶主要发生在老年人中,这与血管的老化和动脉粥样硬化的发生有关。生活方式和遗传因素也会增加发病风险。常见的危险因素包括高血压、高血脂、糖尿病、吸烟、饮酒和肥胖等。这些因素会导致血管病变,从而进一步增加脑多发缺血灶的发生率。
脑多发缺血灶的症状多样化,常见的症状包括头痛、头晕、失眠、记忆力减退、注意力不集中、思维迟缓、情绪波动和肢体无力等。一些患者还可能出现言语困难、行走不稳、视力模糊等症状。这些症状会对患者的生活产生严重影响,甚至会导致脑卒中等并发症的发生。

对于脑多发缺血灶的治疗,早期干预非常重要。患者需要改善生活方式,包括戒烟限酒、饮食调理以及适量运动。控制血压、血糖和血脂的水平也非常重要。对于一些严重的病例,可能需要进行手术治疗,如血管支架植入或血管旁路手术。
除了治疗,预防也是非常重要的。定期体检和医学监测可以帮助发现病变的早期信号,并采取相应的干预措施。同时,尽量避免一些不健康的生活习惯,如长时间坐姿、缺乏锻炼和过度食用高脂高盐高糖的食物等。
总结:多发性脑缺血病是一种常见而危险的疾病,容易导致严重后果。了解脑多发缺血灶的病因和症状对于预防和及早治疗非常重要。通过合理的生活方式和医学干预,我们可以减少脑多发缺血灶的发病率,保护大脑健康。
云作文原创内容,未经允许不得转载。