牙龈瘘管是一种常见的口腔问题,给患者带来不适和疼痛。但是,对于许多人来说,是否能够自愈仍然是一个困惑的问题。本文将探讨牙龈瘘管的自愈能力,帮助读者更好地了解和处理这一问题。
一、牙龈瘘管的定义与原因:
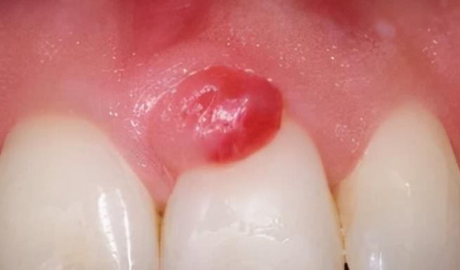
牙龈瘘管是一种口腔疾病,主要特征是牙龈边缘与牙齿之间的瘘管形成。它通常由以下因素引起:牙龈炎症、牙周病、牙周袋或外伤引起的龈下组织感染等。这些因素导致了口腔细菌的存在并繁殖,最终形成了牙龈瘘管。
二、牙龈瘘管的自愈能力:
1. 自愈潜力:
一旦发现牙龈瘘管,许多人会担心它是否能自愈。事实上,牙龈瘘管的自愈潜力视乎于多个因素,如患者的自身免疫能力、个体差异以及瘘管的严重程度等。对于一些轻度的牙龈瘘管,当患者保持良好的口腔卫生和定期洗牙时,瘘管可能会自行愈合。然而,对于一些复杂的情况,需要及时就医进行治疗。
2. 专业医疗干预:
对于严重的牙龈瘘管,尽管存在自愈的可能性,但最好寻求专业医疗干预。在此过程中,医生将进行全面的口腔检查,确定瘘管的严重程度,并制定相应的治疗方案。通常,治疗包括口腔洁治术、抗生素治疗、外科手术等。通过合理的治疗措施,许多严重的牙龈瘘管都可以被有效地控制和治愈。

三、预防与护理:
1. 良好口腔卫生:
良好的口腔卫生是预防牙龈瘘管形成的关键步骤。定期刷牙、使用牙线、使用漱口水等可以帮助清除口腔中的细菌,减少龈炎症和感染的发生。
2. 定期洗牙:
定期到牙医处洗牙可以有效预防和及早发现牙龈瘘管。牙医可以通过洗牙操作彻底清除牙床和牙齿表面的牙垢和积石,并对牙周组织进行详细检查。
3. 定期体检:
定期体检有助于早期发现肿瘤、糖尿病、心血管疾病等系统性疾病,减少其对牙龈瘘管形成和治疗的影响。
结论:
牙龈瘘管是一种常见的口腔问题,具有一定的自愈潜力。对于一些轻度病例,良好的口腔护理和定期洗牙可以帮助牙龈瘘管自行愈合。然而,对于严重的情况,专业的医疗干预是必要的。定期的口腔卫生和体检是预防牙龈瘘管的重要措施。良好的卫生习惯和及时的治疗都可以帮助维持口腔的健康,并减少牙龈瘘管的发生。
云作文原创内容,未经允许不得转载。